ハーブ魔女のつぶやき
メディカルハーブやアロマテラピーで癒されたい方へのメッセージ
[PR]
×
[PR]上記の広告は3ヶ月以上新規記事投稿のないブログに表示されています。新しい記事を書く事で広告が消えます。
肝臓をいたわってアンチエイジング
今や日本人の3人に1人が脂肪肝という現状。
生活習慣病患者が増えたことが背景にあると言われています。
肥満になると脂肪肝のリスクがグッと上がることはご存知だろうか?
BMIが22前後の人で脂肪肝の人は8.5%、
22~25未満の人では31%、
25~27未満の人では52%、
27以上になるとなんと77%の人が
脂肪肝だというのです。
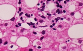
脂肪肝とは
人間の肝臓がフォアグラになった状態のこと。

<共同通信社HPより>
ガチョウのフォアグラは美味ですが、
人間の肝臓はどうもいただけない。
肝臓には
1日に約2,160リットルもの血液が流れ込みます。
肝臓を構成する数千億個の幹細胞では
血液の様々な成分を集め、
代謝、解毒、胆汁の生成など、
生命維持に重要な働きをしています。
そのために肝臓は
ある「宿命」を背負ってしまっているのです。
それが酸素との関係です。
肝臓は血液によって運ばれる酸素を
大量に消費するため、
活性酸素が発生しやすい臓器でもあります。
そのため
肝細胞は他の臓器以上に酸化しやすいのです。
このようにして
肝臓の機能が低下すると、
全身の機能低下に繋がり、
やがて病気や老化を引き起こしてしまいます。
さらに
活性酸素を無毒化するSODをはじめとする酵素は、
40代に入る頃から減少する傾向にあります。
ただでさえ酸化しやすい肝臓が、
脂肪肝になったらどうなるのか???
活性酸素はさらに増加し、
肝臓の細胞に取り込まれた脂質が過酸化脂質に変貌。
動脈硬化が進行し、
全身の老化が急速に早まるのです。
では肝臓を活性酸素の害から守るにはどうしたらよいのか?
それには植物の力を借りて
「抗酸化」に努めるべし!
抗酸化作用によって
幹細胞の酸化を防ぎ、
全身の酸化つまり老化を予防しよう。
食品では
抗酸化ビタミンのA、C、E、
胡麻、緑茶、にんにく、ぶどう。。。などなど。
ハーブなら
ミルクシスル、ホーソンをはじめ、
フラボノイド類などのフェノール性化合物を含むものを。
また、
SODなど活性酸素除去酵素の構成材料でもある
タンパク質や亜鉛やセレン、マンガンなどもお忘れなく。
ところで私事ですが、
先週の月曜日に人間ドックへ行ってきました。
血圧、骨粗鬆症、肺機能、視力、眼圧など、
検査直後に結果が出るものには異常はなかったのですが、
血液検査がちょっと心配。。。
えらそーに肝臓について語った立場上、
「脂肪肝」だった日には目も当てられない。
あ~こんなことなら、
もっと抗酸化に努めておけばよかった。。。
と、毎年思うだけで実行力がイマイチ。
毎日ハーブティーを飲むことは欠かしませんが、
それだけでは足りない気がしてなりません。
今年は食生活の改善に力を入れてみようと思います。
ん?
去年も同じことを思っていたような?
検査直後にいつも反省し、
結果に異常がないとどこ吹く風。
喉元通れば・・・です。
治療よりも予防が肝腎。
おっと、これまた「肝」が登場。
やっぱりアンチエイジングの要は
肝臓をいたわることですね。
生活習慣病患者が増えたことが背景にあると言われています。
肥満になると脂肪肝のリスクがグッと上がることはご存知だろうか?
BMIが22前後の人で脂肪肝の人は8.5%、
22~25未満の人では31%、
25~27未満の人では52%、
27以上になるとなんと77%の人が
脂肪肝だというのです。
脂肪肝とは
人間の肝臓がフォアグラになった状態のこと。
<共同通信社HPより>
ガチョウのフォアグラは美味ですが、
人間の肝臓はどうもいただけない。
肝臓には
1日に約2,160リットルもの血液が流れ込みます。
肝臓を構成する数千億個の幹細胞では
血液の様々な成分を集め、
代謝、解毒、胆汁の生成など、
生命維持に重要な働きをしています。
そのために肝臓は
ある「宿命」を背負ってしまっているのです。
それが酸素との関係です。
肝臓は血液によって運ばれる酸素を
大量に消費するため、
活性酸素が発生しやすい臓器でもあります。
そのため
肝細胞は他の臓器以上に酸化しやすいのです。
このようにして
肝臓の機能が低下すると、
全身の機能低下に繋がり、
やがて病気や老化を引き起こしてしまいます。
さらに
活性酸素を無毒化するSODをはじめとする酵素は、
40代に入る頃から減少する傾向にあります。
ただでさえ酸化しやすい肝臓が、
脂肪肝になったらどうなるのか???
活性酸素はさらに増加し、
肝臓の細胞に取り込まれた脂質が過酸化脂質に変貌。
動脈硬化が進行し、
全身の老化が急速に早まるのです。
では肝臓を活性酸素の害から守るにはどうしたらよいのか?
それには植物の力を借りて
「抗酸化」に努めるべし!
抗酸化作用によって
幹細胞の酸化を防ぎ、
全身の酸化つまり老化を予防しよう。
食品では
抗酸化ビタミンのA、C、E、
胡麻、緑茶、にんにく、ぶどう。。。などなど。
ハーブなら
ミルクシスル、ホーソンをはじめ、
フラボノイド類などのフェノール性化合物を含むものを。
また、
SODなど活性酸素除去酵素の構成材料でもある
タンパク質や亜鉛やセレン、マンガンなどもお忘れなく。
ところで私事ですが、
先週の月曜日に人間ドックへ行ってきました。
血圧、骨粗鬆症、肺機能、視力、眼圧など、
検査直後に結果が出るものには異常はなかったのですが、
血液検査がちょっと心配。。。
えらそーに肝臓について語った立場上、
「脂肪肝」だった日には目も当てられない。
あ~こんなことなら、
もっと抗酸化に努めておけばよかった。。。
と、毎年思うだけで実行力がイマイチ。
毎日ハーブティーを飲むことは欠かしませんが、
それだけでは足りない気がしてなりません。
今年は食生活の改善に力を入れてみようと思います。
ん?
去年も同じことを思っていたような?
検査直後にいつも反省し、
結果に異常がないとどこ吹く風。
喉元通れば・・・です。
治療よりも予防が肝腎。
おっと、これまた「肝」が登場。
やっぱりアンチエイジングの要は
肝臓をいたわることですね。
PR
植物とヒトのイキな関係
<ニチニチソウ>
植物性抗がん薬として知られるニチニチソウ。
ビンクリスチンやビンブラスチンなどの
ビンカアルカロイドを含みます。
もともとヒトをはじめとする生物には
病気を自ら癒す力が備わっています。
自然治癒力でもどうしようもない時、
植物が作り出す物質の中を探すと、
治癒に導いてくれる成分が見つかります。
アルカロイドが植物にとって
どのような役割をしているかについては
未だ不明な点も多いのですが、
アルカロイド特有の強い苦味を利用して、
他生物に摂食されるのを防いでいるのでは?
という説があります。
またその一方で、
植物は排泄機能を持たないため、
排泄物としてアルカロイドを作って
体内に保持していると考える説もあります。
植物と動物の関係は、
「持ちつ持たれつ」以上の
密接な関係にあるようです。
でもできれば、
自らの力で癒すほうが体には優しく、
しかも余分な害が及ばないのは言うまでもありません。
体は機械ではないけれど、
意識下ですべてをコントロールしなくても
自律神経によって自動制御されている部分は決して少なくありません。
自然治癒力もある意味自動制御されているのかも。
この自然治癒力を通常よりも高める方法にイメージ療法というのがあります。
ガンなどの病気をイメージ療法で治したという話も
最近あちらこちらでよく聞くようになりました。
反対に
病気に対して誤ったイメージを抱き続けていると、
治癒が遅れるという話もあります。
たとえば、
がん細胞にどんなイメージを持っていますか?
と質問したとします。
「強くて攻撃的」と答えた人は、
がんが不治の病のように思えてならないでしょう。
克服するのが非常に困難だと諦めてしまうかもしれません。
しかし、
がん細胞は「強くて攻撃的」な細胞ではないのだそうです。
本来、
がん細胞は「弱くて不安定は細胞」で、
混乱して誤った情報を受け取ってしまい、
自分の身の振り方も定まらず、
ただ増え続けて彷徨っている可哀想な細胞なのだそうです。
「受け身」な細胞なので、「攻撃的」ではないのでしょうね。
がん細胞に対する誤ったイメージを修正することで、
自然治癒力が上がるのだそうです。
ヒトや動物に作ることができない化学成分を持っている植物も偉いですが、
ヒトもまんざらではないと。。。私は思います。
自然治癒力を高めるライフスタイルを送りましょう。
イメージ療法・・・大変興味深いですね。
メディカルハーブ検定対応・試験対策講座開講のお知らせ
3月2日(日)実施の
メディカルハーブ検定試験対策講座を開講します。
開講スケジュールは以下のとおりです。
認定校:生活の木名古屋校(名古屋松坂屋南館6F)
開講日:2月13日(木)
時間 :10時30分から13時30分(3時間)
残席わずか1席となりました!!!
お申し込みの方はお急ぎください。
認定校:自然の薬箱(JR&地下鉄東山線 千種駅徒歩2分)
開講日:2月15日(土)
2月18日(火)
時間 :両日とも10時30分から13時30分(3時間)
http://five-r.co.jp/news/4576.html#content
ご都合の良い日程にご参加ください。
★講座内容★
①各レッスンのポイント整理&練習問題
検定テキストはとてもわかりやすく読みやすい内容です。
そのため、復習のために読み進めることは容易ですが、
小説のようにさらさら読めてしまうため記憶に残りにくいのでは?
ハーブ魔女がポイントチェックと記憶に残りやすい練習問題をご用意。
②模擬試験問題50問
日本メディカルハーブ協会の試験には過去問がありません。
「食品として扱うためにはココは重要!」
「使い方としてココは必ず理解してほしい」
「ココの理解が不十分でコーディネーターにはなれないでしょ」
の、「ココ」を模擬試験問題としてご用意しています。
合格するコツは、「出題傾向に慣れておく」ことです。
認定校や認定教室で学ばれた方をはじめ、
独学で受験を考えていらっしゃる方も受講可能です。
お申し込み&お問い合わせは
直接、各認定校さんまでお願いします。
プロフィール
HN:
ハーブ魔女
HP:
性別:
女性
職業:
主婦&サロン経営&講師
趣味:
海外ドラマ(アメリカ)鑑賞
自己紹介:
持ってる資格
- 日本メディカルハーブ協会認定
ハーバルセラピスト
ハーバルプラクティショナー
ホリスティックハーバルプラクティショナー
- 日本アロマ環境協会認定
アロマテラピーインストラクター
- 日本ホリスティック医学協会会員
- 生活習慣病予防指導士
- バッチ財団登録 プラクティショナー
ハーブ療法(YOSA)のサロンを経営しています。
サロンでは癒しの時間をご提供するかたわら、メディカルハーブ検定対策講座や、石鹸作りのレッスンもしています。
●JAMHA認定校講師もしています♪
○生活の木 名古屋校さんにて
・メディカルハーブ検定対策講座
・ハーバルセラピスト養成講座
・ハーバルプラクティショナー養成講座
○自然の薬箱さんにて
・メディカルハーブ検定対策講座
・ハーバルセラピスト養成講座
・ハーバルプラクティショナー養成講座
- 日本メディカルハーブ協会認定
ハーバルセラピスト
ハーバルプラクティショナー
ホリスティックハーバルプラクティショナー
- 日本アロマ環境協会認定
アロマテラピーインストラクター
- 日本ホリスティック医学協会会員
- 生活習慣病予防指導士
- バッチ財団登録 プラクティショナー
ハーブ療法(YOSA)のサロンを経営しています。
サロンでは癒しの時間をご提供するかたわら、メディカルハーブ検定対策講座や、石鹸作りのレッスンもしています。
●JAMHA認定校講師もしています♪
○生活の木 名古屋校さんにて
・メディカルハーブ検定対策講座
・ハーバルセラピスト養成講座
・ハーバルプラクティショナー養成講座
○自然の薬箱さんにて
・メディカルハーブ検定対策講座
・ハーバルセラピスト養成講座
・ハーバルプラクティショナー養成講座
最新記事
(01/31)
(12/03)
(12/02)
(11/22)
(11/18)
最新コメント
[05/08 RudolphPed]
[04/08 Charlessa]
[03/28 Kennethwaix]
[11/23 浦野理恵]
[07/10 まはら]
